Efeito do uso continuo da cocaína

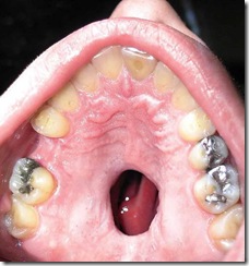
A cocaína pode provocar hemorragias nasais, os alimentos passam da boca para as narinas) e alguns outros efeitos desastrosos também podem ...

cocaina

A cocaína pode provocar hemorragias nasais, os alimentos passam da boca para as narinas) e alguns outros efeitos desastrosos também podem ocorrer numa situação como essa apresentada na imagem ao lado.

O caso de um jovem americano de 25 anos vai além. Ele foi para o hospital com um buraco no palato, um resultado da morte do tecido causadas pelo consumo de cocaína.

Se os efeitos agudos da cocaína já são perigosos, os efeitos e conseqüências do uso continuado são letais. Suas conseqüências são quase sempre desastrosas sobre a vida do usuário, promovendo prejuízos em suas mais diversas áreas de funcionamento. Depressão intensa com risco de suicídio, desmotivação, sonolência, irritabilidade crônica, episódios paroxísticos de ansiedade (ataques de pânico) e finalmente psicose paranóide (O indivíduo tem certeza que está sendo perseguido, mesmo confrontado com a inexistência de indícios reais) são os efeitos psíquicos mais observados na utilização crônica da droga. As complicações médicas são destacadas no próximo capítulo. Se antes do uso o indivíduo já apresentar sintomas depressivos, estes se tornam mais severos ainda, resultando ocasionalmente em tentativas de suicídio.

Separação conjugal, abandono de atividades ocupacionais (p.ex. perda de emprego), incapacidade de cumprimento de obrigações sociais, dependência financeira ou engajamento em atividades criminais são descritos por muitos usuários "crônicos".

Aos efeitos crônicos associam-se os efeitos potencialmente letais da droga. O uso de cocaína é a principal causa de infarto agudo de miocárdio em jovens (até 40 anos) nos EUA. A cocaína altera o ritmo elétrico cardíaco, produzindo arritmias, que podem ser visualizadas no eletrocardiograma. O aumento da pressão arterial descrito no capítulo anterior contribui para a ocorrência de hemorragias (sangramentos) em diversas partes do corpo, inclusive no cérebro, possibilitando a ocorrência de acidentes vasculares cerebrais (conhecidos como "derrame"). O aumento de temperatura corpórea pode atingir mais de 42º, provocando a morte por hipertermia. Doses maiores estão relacionadas com parada respiratória.

Uma das conseqüências mais importantes do consumo da cocaína é o surgimento de
convulsões. A cocaína é um potente facilitador da ocorrência de convulsões de todos os tipos, principalmente tônico-clônicas (indistingüíveis daquelas da epilepsia). Em animais de laboratório (geralmente ratos e macacos) "tratados" com cocaína, observamos mortes por convulsões (acompanhados de inanição e exaustão) após 17 dias de consumo da droga. Imagina-se que caso o ser humano tivesse acesso irrestrito à droga, o resultado seria muito semelhante.


Com informações adroga.casadia.org

COMENTÁRIOS

{recent}{slider-4}{wide}
4/sgrid/recent
Abrir todos os posts Não encontrei nenhuma postagem Ver tudo Ler mais Resposta Cancelar resposta Delete By Home PAGINAS POSTS Ver tudo RECOMENDADO PARA VOCÊ ETIQUETA ARQUIVO BUSCA TODOS AS POSTAGENS Não encontrei nenhuma postagem com sua solicitação Back Home Domingo Segunda-feira Terça-feira Quarta-feira Quinta-feira Sexta-feira Sábado Dom Seg Ter Qua Qui Sex Sab January February March April May June July August September October November December Jan Feb Mar Apr May Jun Jul Aug Sep Oct Nov Dec Agora mesmo 1 minute ago $$1$$ minutes ago 1 hour ago $$1$$ hours ago Yesterday $$1$$ days ago $$1$$ weeks ago more than 5 weeks ago Followers Follow THIS PREMIUM CONTENT IS LOCKED STEP 1: Compartilhe em uma rede social STEP 2: Clique no link na sua rede social Copy All Code Select All Code All codes were copied to your clipboard Can not copy the codes / texts, please press [CTRL]+[C] (or CMD+C with Mac) to copy Table of Content